LOADING ...

Head Wound

Song info

"Head Wound" (2014) on the albums Poison Everything(2014), Poison Everything(2014).

"Head Wound" Videos

Head Wound
Head Wound
Obliterations "Head Wound" TPOTR 2013, Los Angeles. 8-9-13
Obliterations "Head Wound" TPOTR 2013, Los Angeles. 8-9-13
Massive Headwound
Massive Headwound
Bulging Scalp After a Head Injury (Tension Pneumocephalus)
Bulging Scalp After a Head Injury (Tension Pneumocephalus)
Decompressive craniectomy for head injury, brain tumors, bleeding in brain, brain hemorrhage
Decompressive craniectomy for head injury, brain tumors, bleeding in brain, brain hemorrhage
Head Stabber/Emaciated Amalgamation - Split and Devoured (2025, independent, Split EP)
Head Stabber/Emaciated Amalgamation - Split and Devoured (2025, independent, Split EP)
Obliteration
Obliteration
Head & Neck | Trauma reconstruction | Mr Simon Filson
Head & Neck | Trauma reconstruction | Mr Simon Filson
MRCS Par B: Head Injury
MRCS Par B: Head Injury
lol i got all head injuries in broken bones iv
lol i got all head injuries in broken bones iv
Head Injury
Head Injury
TiCME+ Brain Trauma
TiCME+ Brain Trauma
FRCEM Trauma 1 Preview
FRCEM Trauma 1 Preview
Reconstructing Broken Bodies (25 June 2014)
Reconstructing Broken Bodies (25 June 2014)
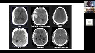
Imaging in Brain Trauma: Principals, Nuances and Future Directions by Mr Regunath Kandasamy
Imaging in Brain Trauma: Principals, Nuances and Future Directions by Mr Regunath Kandasamy
complication avoidance in decompressive craniectomy for head injury surgery
complication avoidance in decompressive craniectomy for head injury surgery
KNH-UoN Webinar : Management of Head Injury
KNH-UoN Webinar : Management of Head Injury
Further Opening the Wounds
Further Opening the Wounds
Endodontics | Traumatic Injuries | INBDE, ADAT
Endodontics | Traumatic Injuries | INBDE, ADAT
Off with His Head
Off with His Head

Lyrics

Oh! We don't have the lyrics to this song yet.

Albums has song "Head Wound"